10 年
手机商铺
入驻年限:10 年
谢先生
北京 大兴区
细胞库 / 细胞培养、试剂、技术服务、抗体、ELISA 试剂盒
生产厂商 代理商 经销商
公司新闻/正文
630 人阅读发布时间:2021-11-08 10:26
免疫组化,免疫组织化学技术(immunohistochemistry),是一项利用抗原抗体反应,通过使标记抗体的显色剂显色来确定组织细胞内抗原,对蛋白定位,定性的实验技术。
非特异性染色的八大原因
然而,结果却未必都是那么如意的,常常出现下面这种状况,好好的一张片子染得脏脏的,这就是最常见的非特异性染色。

1. 抗体问题,真的是一分钱一分货啊!
一抗用多克隆抗体容易出现非特异性染色,建议用高纯度,高效价的针对更具特异性抗原决定簇的单克隆抗体来解决。单克隆抗体很贵,不过结果真的很好。尤其是背景非特异性染色不会太深。真是一分价钱一分货。一抗过期也会造成杯具,所以要注意抗体的有效期。
2. 抗体浓度过高/孵育时间过长
一抗浓度太高也是出现非特异性染色的常见原因。解决的办法就是预实验。每次使用新抗体前应该多做预实验,摸索出zui理想的工作浓度,不能简单地按照说明书来用。另一个常见原因就是孵育时间过长。解决的办法就是定时器。加上抗体后,立刻调好定时器,提醒自己及时终止反应,就会避免这个问题。
3. DAB染色时间太长/变质
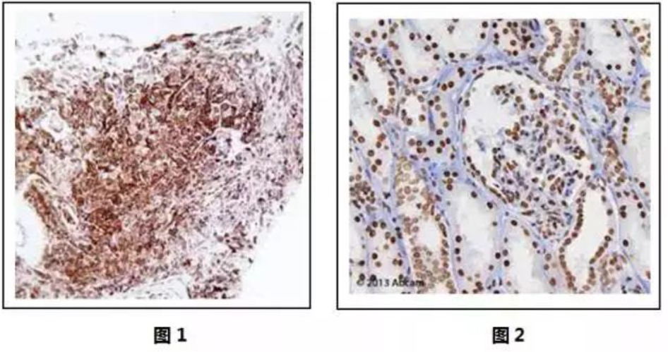
DAB的孵育时间过长,会造成背景非特异性染色。DAB的显色时间不是一成不变的,主要靠自己在显微镜下盯着,一旦出现浅浅的棕色的时候,就要马上冲洗。出现棕色的时间过短,表明抗体浓度过高;出现棕色的时间过长,表明抗体浓度过低。DAB要保存于避光干燥的地方,现用现配,临用前才加入H2O2。图1就冲洗的有些晚了;图2就是刚刚好,染色效果棒棒哒!

4. 内源性酶和生物素
内源性酶和生物素也会造成非特异性染色,特别是一些内源性酶生物素含量丰富的组织,如肝脏,肾脏,脾脏等。处理的办法为:灭活碱性磷酸酶:zui常用的方法是将左旋咪唑(24 mg/mL)加入底物液中,并保持PH值在7.6-8.2,即能除去大部分内源性碱性磷酸酶;对于酸性磷酸酶,可以用50 mmol/L的酒石酸抑制;对于内源性过氧化物酶,可以用0.9%的双氧shui来灭活。对于内源性生物素,染色前将切片浸于25 μg/mL亲和素溶液中15分钟,PBS清洗15分钟后即可染色。也可以24 mg/mL的卵白素封片15分钟。
5. 组织变干
一下子染太多片子的时候,容易出现这种情况。解决的办法就是不要贪多嚼不烂。一次少染几张。还有就是试剂充分覆盖组织,超出组织边缘2 mm。然后用PAP笔在组织周围画一个圈圈,把修复液圈在里面。避免修复液流走。圈圈应该距离组织边缘3-4 mm。
6. 浸泡时间过长
切片在缓冲液或修复液里面浸泡过夜,也会引起杯具。这都是偷懒的做法。但是有时候也是可以偷一下懒的。毛博的独门秘技就是4°C冰箱。只要把容器放在4°C冰箱里,过夜完全没有问题。
7. 清洗不充分
清洗一定要充分。PBS液一定要双蒸水新配,用之前再次测PH值。缓冲液用0.05 mol/L的Tris-HCL,0.15 mol/L的NaCl即可。如果加一点去垢剂Tween-20就更好了。
8. 封闭血清问题
是否选择了正确的封闭血清。原则是选择二抗动物的非免疫血清,例如二抗是羊抗兔,就要选择非免疫羊血清。用PBS稀释为3-10%的溶液孵育切片,37°C 10-30分钟。这里不用洗,直接甩掉即可。毛博再贡献一个独门绝招,直接用奶粉也可以。用5%的脱脂奶粉就可以了。而且效果还不错。怎么样?简单吧。
来源:解螺旋医生科研助手 / 编辑:As素